Bücher zum Thema aussuchenBücherliste
Wundmanagement

Wundmanagement -
Wundheilung und chronische Wunden

Aus- und Weiterbildung
Dekubitus
Diabetischer Fuß
Gangrän
Hygiene
Infektionsschutz
Offenes Bein
Pflege
Störfaktoren
Wirtschaftlichkeit
Wundphysiologie - normale Wundheilung
Wundversorgung

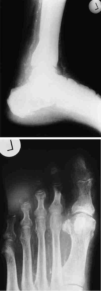
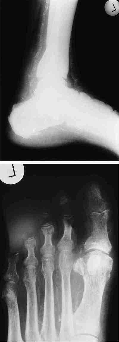
Diabetischer Fuß: Bildteil - Mediasklerose

Abb. 1: Ausgeprägte Mediasklerose (Mönckeberg-Sklerose) mit Nativ-Darstellung des Gefäßes im Röntgenbild bei langjährigem Diabetes mellitus ohne Nachweis einer arteriellen peripheren Durchblutungsstörung.

Abb. 2:Nativ-Darstellung der Interdigitalarterien bei Mediasklerose (Mönckeberg-Sklerose) bei langjährigem Diabetes mellitus.

Klick liefert grosse Version des Bildes!

In Wundmanagement-Datenbank suchen:
MedizInfo®Klinikbewertungen
Einfach: Klinik suchen - "Erfahrungsbericht schreiben" anklicken - und los geht's!

Mediz.Info®Homepage
Zur Homepage

Zur Startseite
Wundmanagement
Web - Datenbankprogrammierung: MedizInfo®